Aquellos que lean hasta el final se ahorrarán media vida y mucho dinero, evitando errores fatales y decepciones devastadoras en el tratamiento de las articulaciones...
Nuestra protagonista también pensaba que curar sus articulaciones era un sueño casi inalcanzable e increíblemente difícil de conseguir. La artritis la postró en una silla de ruedas, y un día un simple comentario de un humano cambió su vida por completo.
«RECUERDA: LA ARTRITIS Y LA ARTROSIS DESTRUYEN EL TEJIDO CARTILAGINOSO EN 3 AÑOS». Eso fue lo que me dijo mi médico, y realmente me senté en una silla de ruedas. ¡Horrible verdad!
¡Hola! Me llamo María Hernández . Aquí quiero contarte mi historia de cómo me enfermé gravemente de artritis, quedé postrada a una silla de ruedas y cómo logré curarme, por cierto de forma muy rápida y barata.
Hace dos años experimenté por primera vez un leve dolor en las rodillas y la cadera. El dolor no era intenso, así que no le presté mucha atención... Resulta que las enfermedades de las articulaciones son muy peligrosas y hay que tratarlas inmediatamente, no esperar como hice yo. Un día cualquiera tuve un dolor leve pero agudo en las rodillas, y además comenzó a dolerme seriamente la articulación de la cadera, y pensé que no pasaba nada, que se me pasaría, como solía pasar normalmente. Compré medicamentos y ungüentos y empecé a utilizarlos. Al cabo de una semana más o menos, mi estado empeoró bruscamente, el dolor se hizo insoportable, comenzó un dolor agudo en la articulación de la cadera y decidí acudir al médico por primera vez. Me hicieron un diagnóstico que no era barato, y mi médico al ver los resultados del examen me dijo:
«¿Por qué ignoraste los síntomas antes? ¡Tienes artrosis! La artrosis, si no quieres quedarte discapacitada, tienes que operarte la cadera y las rodillas!»


¡En una palabra, me quedé impactada! Me entró el pánico, no tenía dinero para la operación y no estaba preparada para ello en absoluto. La cantidad de dinero que suponía era cósmica... y no estaba seguro de poder sobrevivir a una operación así en mi vejez. Decidí no hacerlo y le pedí que me recetara medicamentos.

La endoprótesis de las articulaciones es muy cara, y una operación muy seria.

Endoprótesis de rodilla, foto

La endoprótesis de las articulaciones es muy cara, y una operación muy seria.

Endoprótesis de rodilla, foto
Él me recetó analgésicos y medicamentos y me dijo a continuación:
RECUERDA: ¡LA ARTRITIS Y LA ARTROSIS DESTRUYEN EL TEJIDO CARTILAGINOSO EN 3 AÑOS! Por desgracia, no hay medicamentos para la artritis, sólo una operación puede ayudarte...

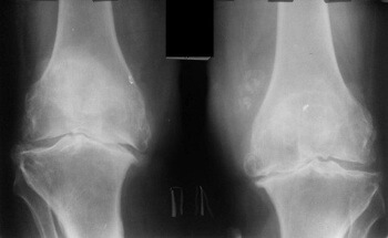
El efecto de la artrosis en el cartílago de la articulación de la rodilla.
Por desgracia, el médico tenía razón... Al cabo de dos meses, me resultaba insoportablemente doloroso estar de pie, las medicinas y los analgésicos dejaron de hacerme efecto, aunque me había gastado mucho dinero en ellos, y las medicinas me perjudicaban mucho el estómago y el hígado: ¡tuve que renunciar a ellas! Tuve que comprar una silla de ruedas y usarla para moverme por el apartamento... El médico me dijo que la artritis destruye el cartílago en 3 años, pero debió empezar mucho antes, lo interesante es que no sentía que mis articulaciones estuvieran mal, pero luego, todo empeoró de repente y me vi sentada en una silla de ruedas, sin ninguna esperanza de recuperación, recuerdo que las lagrimas corrieron por mis ojos, fue el peor momento de mi vida......
¡Tres de los únicos productos que existen en el planeta! ¡Ellos penetran instantáneamente en las articulaciones afectadas, desencadenando al instante el proceso de recuperación del cartílago y los ligamentos articulares!
Semillas de pimiento rojo. Es el agente analgésico y antiinflamatorio natural más potente. Si el veneno de serpiente se aplica en las proporciones adecuadas en el exterior de la zona dolorida, es el mejor analgésico de todo el planeta, y además no es perjudicial para la salud (a diferencia de la lidocaína, etc.), ya que no penetra en el cuerpo, sino que se aplica en la zona dolorida desde el exterior. En una palabra, cualquier dolor pasará inmediatamente después de la aplicación en la zona dolorida.
El extracto de trébol penetra instantáneamente en la articulación, activa el mecanismo de regeneración celular y restaura la articulación afectada. Con la edad, el organismo humano pierde su capacidad de recuperación; cualquier rasguño o herida tarda más en curarse que en la juventud. Y es este ingrediente el que estimula esta capacidad y es vital para las células de las articulaciones.
El extracto de cinquefoil enriquece el líquido articular, devuelve la elasticidad a los tejidos y ligamentos y restablece la movilidad. Un ingrediente indispensable para las articulaciones, el líquido articular tampoco se produce tan bien con la edad como en la juventud, por lo que se necesita una lubricación articular, el aceite de tiburón penetra inmediatamente en la articulación y actúa como líquido articular (lubricante articular).
¡Era justo lo que necesitaba! No era realista prepararlo en casa, y los ingredientes eran difíciles de conseguir, por decirlo de alguna manera. Así que empecé a buscar remedios que contengan estos 3 ingredientes. Me llevó semanas encontrarlo...
¡En las redes sociales encontré un comentario de una mujer que me salvó la vida!
Leí muchos comentarios sobre diferentes productos, no había productos similares en la formulación que buscaba, pero pasó el tiempo, hice pedidos de varios productos de Internet, donde había en su mayoría buenas críticas — hice pedidos — pero por desgracia, nada me ayudó... Encontré otro remedio en Internet, pero había sobre todo comentarios malos sobre él, pero eran malos en cuanto al fondo, así que empecé a sospechar y me encontré con un comentario en una red social de una mujer, en la que contaba cómo había curado su artritis y osteocondrosis. ¡Por cierto, sin inyecciones, sin cirugía, y ni siquiera pastillas! Ella describió su comentario con mucha veracidad y me tocó una fibra sensible: le creí a pesar de todos los comentarios negativos.
Decidí ponerme en contacto con la mujer y preguntarle más sobre el remedio. Me contó su recuperación como si hubiera sido un milagro, y quedé fascinada con su historia. Fue un desarrollo de nuestros científicos y se denomina Flexacil . Y resultó que este producto contiene semillas de pimiento rojo, extracto de trébol y extracto de cinquefoil — ¡¡¡fue fantástico!!! ¡¡¡¡Encontré lo que buscaba y otra reseña no confirmada de que esta fórmula realmente funciona!!!! El producto sólo se vende en el propio sitio web del fabricante, y no siempre está disponible ni siquiera allí. Pero tuve suerte. ¡Hice el pedido justo cuando el producto estaba en oferta! Calculo que me he gastado unos miles de dólares en medicamentos y médicos en este periodo de tiempo, y el precio de este producto son unos céntimos en comparación si realmente me he curado y me he recuperado. Decidí pedir dinero prestado porque ya estaba arruinado. En realidad no quería pedir dinero prestado, por supuesto, pero mi prioridad era curarme, ¡así que encontré el dinero rápidamente! He tardado varios meses en encontrar estos 3 ingredientes que realmente ayudan, ¡y realmente esperaba no equivocarme ahora!

¿Cuáles son los resultados, te preguntarás?
El dolor empezó a desaparecer casi inmediatamente.
Al cabo de dos días la inflamación y la hinchazón desaparecieron.
Al cabo de 2 semanas me sentía mucho mejor, podía doblar las piernas y mover la pierna.
Al cabo de 4 semanas me sentía bien, intentaba ponerme en pie y caminaba despacio por el apartamento.
¡A las 6 semanas me sentía completamente sana! ¡Empecé a caminar libremente, no había crujidos ni dolor! ¡Mi estado de animo era impresionante! ¡¡¡Sentía la cadera y las rodillas como si nunca me hubieran dolido!!!
Después del tratamiento, acudí al mismo médico. Se quedó sin palabras.... Me dijo que estaba completamente sana y me preguntó cómo había curado mi artritis. ¡¡¡Le dije que el remedio se llamaba Flexacil y cuesta centavos comparado con el dinero que he gastado en ti y en tu tratamiento!!!

Intenté contar lo más detalladamente posible mi experiencia con la artritis, espero que hayas disfrutado de mi comentario, y que mi comentario te ayude a vencer tus enfermedades articulares, ya que se ha demostrado que Flexacil cura todas las enfermedades articulares. Así que si tienes el mismo problema, toquemos madera, haz el tratamiento lo antes posible. La discapacidad no es una broma. También me gustaría hacer hincapié en que no debes retrasar la cura de tus articulaciones, ya que las consecuencias son muy negativas, ¡créeme! En segundo lugar, es más barato curarse la primera vez que someterse a un tratamiento continuo y gastar mucho dinero. Estoy muy contenta de haber podido evitar la cirugía y las recaídas, y de haberme recuperado lo suficientemente rápido. ¡Te deseo lo mismo! ¡A continuación, adjunto un enlace en el que puedes encontrar más información sobre Flexacil las dolencias que cura, y pedirlo sólo por 149 PEN !
¡Y te deseo todo lo mejor, y lo más importante, salud! ¡Hasta pronto!
¡Atención! Promoción para todos los habitantes de Perú . Puedes reservar Flexacil por 149 PEN hoy hasta inclusive!
¡Felicidades!
Tuviste tiempo de reservar Flexacil para tratar el dolor en las articulaciones a un precio mínimo
Espera la llamada de un operador en breve
Para obtener Flexacil para tratar el dolor en las articulaciones por la promoción — rellena el formulario y haz clic en «Reservar».
Una vez reservado el producto del fabricante oficial, tú recibirás:
- 1) Remedio Flexacil a precio promocional - 149 PEN
- 2) Entrega rápida y gratuita para los residentes del
Perú .
Debido a los riesgos de propagación del virus, está disponible la entrega por mensajería sin contacto. Todos los mensajeros trabajan con máscaras y guantes. - 3) ¡Una garantía de que tus articulaciones dejarán de molestarte!
El programa promocional solo será válido hasta inclusive! Pídelo ahora, sólo te llevará unos segundos y no arriesgas nada.
¡Cuidado con las falsificaciones! Publicamos el único sitio web oficial del proveedor Flexacila en Perú .
29 de enero
¡Atención! Promoción para todos los habitantes de Perú . Puedes reservar Flexacil por 149 PEN hasta inclusive!
¡Felicidades!
Tuviste tiempo de reservar Flexacil para tratar el dolor en las articulaciones a un precio mínimo
Espera la llamada de un operador en breve
¡Cuidado con las falsificaciones! Publicamos el único sitio web oficial del proveedor Flexacila en Perú .